時間:2023-05-04 14:23:20 瀏覽:0 來源:cc
眼球突出是一種疾病,矯正手術很重要,但是手術前需要做一系列的檢查,那么眼球突出矯正前需要做哪些檢查呢?讓我們仔細看看!

根據性質和發生過程的不同,可以從擴大眶容量和減少眶內容物兩個方面進行眼球突出的矯正。
那么如何在眼球突出矯正前做出診斷呢?
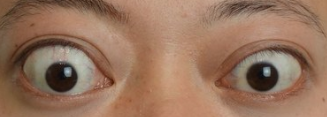
1.觀察:根據眼球突出的方向,眼球運動是否受限,單側或雙側眼球突出或眼眶是否有炎性病變,可由醫生初步判定觀察。
2.眼底鏡檢查:用眼底鏡檢查眼底,可見視神經乳頭水腫萎縮,靜脈充盈,視網膜皺褶或反射異常,均提示眶壓增高,視神經和眼球受壓。但很多突眼患者,用檢眼鏡檢查眼底是正常的。

3.觸診:炎癥時壓痛明顯,實體性病變(如腫瘤)抵抗力增強。血管疾病患者用力按壓可使眼球暫時復位,低頭或按壓頸靜脈會加重眼球突出。如果有腫瘤的可能,可以將手指放入眼眶不同部位,檢查其范圍、活動度、表面光滑度,檢查眶緣是否有骨質損傷。
4.眼球突出的檢查:通過測量眼球突出的高度和兩個眼球突出之間的差異來輔助診斷,是一種簡單實用的方法。
5.眶壓的檢查:可以通過客觀的眶壓檢查來測量眼壓,也可以用手掌按壓眼球,憑感覺來估計眼壓。
6.影像學檢查:X線、超聲探查、CT掃描、磁共振成像等。
了解骨扭轉、眶腔、視神經管的變化,盡早發現腫瘤、炎癥、血管畸形等眼眶疾病。眼球突出的原因很多,其中很大一部分是近視造成的。如果眼球突出影響美觀,需要治療,術前檢查的項目很重要,一定要重視矯正手術前的檢查!
相關閱讀上一篇:西昌整形專家介紹眼球突出
下一篇: 三角眼直接整成漂亮雙眼皮