時間:2023-04-15 22:16:42 瀏覽:0 來源:cc
新民市人民醫院該醫院擁有強大的醫療技術力量。醫院高度重視科室發展和技術創新,積極開展新技術、新項目,醫院整體醫療水平得到顯著提升。醫院醫療設備醫院注重科室醫療建設,堅持高起點、高技術設備科室,引進大型醫療設備。

高佩民,主治醫師,工作多年,積累了比較深厚的經驗,擅長牙齒修復,種植牙,先后完成了很多的手術案例,發表了論文多篇,獲得了眾多愛美者的喜愛。
新民市人民醫院口腔科種植牙齒案例分享:很早就想種植牙了,一直在找靠譜的醫院。后來,經過慎重考慮,我選擇了新民市人民醫院。這是一家正規的大醫院。我的牙是左后側缺的,所以我總是用右側咀嚼,很不方便。更嚴重的是,久而久之,我發現我的右臉比左臉大。可能是長時間用右牙咀嚼食物的原因。而在做完手術之后我感覺這個種植的牙齒,已經完美的融入到周圍的牙齒腫了。
新民市人民醫院口腔科牙齒矯正案例分享:終于考完了,整件事也提上了日程。首先,我拿著模具等著方案。我的牙齒還是挺整齊的,只是咬合有點不正常,導致我咬合面磨損嚴重,經常需要補牙,還有一些牙縫。可能這種咬合導致咬肌特別大,我骨架大,直到去年我才知道這種情況適合矯正,經過多次研究,我選擇了這個。做完之后發現牙齒果然比以前變得更加的好看了。
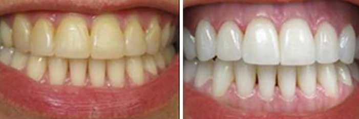
新民市人民醫院口腔科冷光美白案例分享:我第一次接觸冷光美白。在新民市人民醫院看到了閨蜜做的冷光美白;效果還挺好的。所以我很感動,我也想通過冷光美白來改善我的黃牙。今天,我請我更好的朋友陪我去新民市人民醫院美白我的牙齒。醫院的環境和服務都很好,牙齒美白的效果也挺好的。現在牙齒很白,很喜歡。

新民市人民醫院口腔科獲得國家愛嬰醫院、省衛生廳授予老百姓信得過醫院、省公眾形象優秀窗口單位、省綠化先進單位、沈陽市白求恩杯競賽奪杯單位、沈陽市文明示范醫院等幾十項榮譽稱號。
新民市人民醫院口腔科主要設備有0.5T磁共振一臺、16排CT一臺、64排CT一臺、CR、DR數字機各一臺、數字胃腸一臺、C型臂X光機、彩超7臺、全自動生化分析儀一臺、血凝儀一臺、化學發光儀一臺、腹腔鏡一臺、前列腺電切鏡一臺、胃鏡、腸鏡各一臺、血液透析中心透析機17臺。
醫院的整體環境令人感覺還是非常舒服的,沒有那種臟亂的感覺,一切都給人一種非常井井有條的直觀感受。醫院里面的醫生都很和藹,并且經驗豐富,技術高超。給我做牙齒的時候,一直在跟我普及一些牙齒的小知識。
1、如果做一個種植牙的話可以用到幾十年的時間嗎?
在口腔內做一個種植牙的話,一般使用的時間可以達到40年左右。但是這只是理想的時間,還需要考慮很多的外在因素所導致的影響,具體要看平時維護的情況和技術怎么樣。
2、做種植牙的話,有什么樣的好處和壞處?
種植牙主要的好處是非常的美觀,并且不會導致口腔有不舒服的感覺,對于周圍的牙齒也不會產生什么危害。但是種植牙需要的費用比較高,并且需要做手術,療程很長。
3、如果做全口種植牙的話有什么好處?
種植牙的話,只要患者沒有什么血液類型的疾病的話一般這種手術并不會對患者的身體產生危害,只是在做手術之后的兩三天的時間左右會一直有一些腫脹的感覺。做好之后會比較的美觀和結實,非常的耐用。
隱適美隱形矯正:隱適美隱形矯正運用一種透明度比較高的高分子材料所進行制造,因為外表非常的透明,所以從外部看不出來。具有很好的一個彈性效果,能夠方便牙齒進行移動。
微創種植牙:微創種植牙是利用韓國的技術對牙齦的表面進行一個處理,讓種植的手術更加的安全,成功率也會有顯著的提高。因為這個技術是比較成熟的,并且很簡單,所以較為普及。
美國第二代Beyond冷光美白:美國第二代Beyond冷光美白運用低溫冷光的技術,將親水性藥物涂抹在牙齒表面進行反應,不會對牙齦造成刺激,副作用很小。
時間短:
1、新民704路
約20分鐘 980米 無換乘 步行190米
新民站110米向南步行 到 火車站4站乘 新民704路 (食品廠方向) 到 市醫院70米向東南步行 到 新民市人民醫院
2、新民701路
約30分鐘 1.8公里 無換乘 步行930米
新民站440米向東北步行 到 衛生局4站乘 新民701路 (氣象局方向) 到 樂府購物廣場490米向西南步行 到 新民市人民醫院
少換乘:
1、新民704路
無換乘 980米 約20分鐘 步行190米
新民站110米向南步行 到 火車站4站乘 新民704路 (食品廠方向) 到 市醫院70米向東南步行 到 新民市人民醫院
2、新民701路
無換乘 1.8公里 約30分鐘 步行930米
新民站440米向東北步行 到 衛生局4站乘 新民701路 (氣象局方向) 到 樂府購物廣場490米向西南步行 到 新民市人民醫院
相關閱讀